Gaussian Mixture Model for brain MRI Segmentation
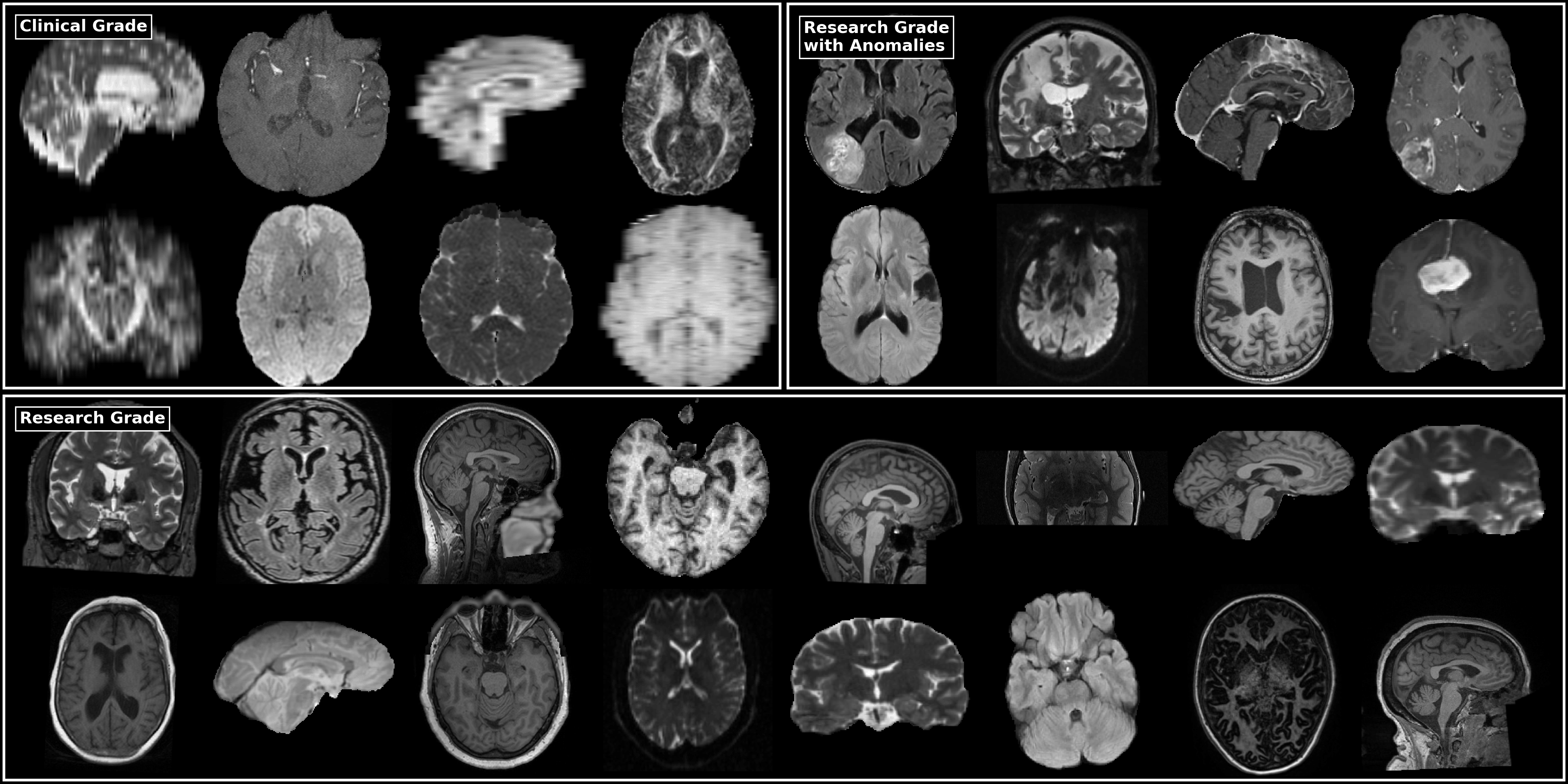
In the last decades, Magnetic Resonance Imaging (MRI) has become a central tool in brain clinical studies. Most of these studies rely on accurate and
Stefano Cerri
Postdoctoral Researcher
Pioneer Centre for AI
stce at di dot ku dot dk
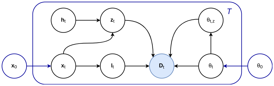
I’m a postdoctoral researcher at the Pioneer Centre for AI, developing generative models for analyzing brain MRI data. Previously, I was a research fellow at the Athinoula A. Martinos Center for Biomedical Imaging. I obtained my PhD at the Technical University of Denmark (DTU), supervised by Koen Van Leemput. I was also part of the 15 PhD students of the Translational Brain Imaging Train Network (TRABIT).
Past Experiences
Selected publications, for a full list see Google scholar.

Sveinn Pálsson, Stefano Cerri, Hans Skovgaard Poulsen, Thomas Urup, Ian Law Koen Van Leemput
Scientific Reports, Vol. 12, 2022, 19744
Paper
I’m actively maintaining the segmentation code of SAMSEG, included in FreeSurfer.
In the last decades, Magnetic Resonance Imaging (MRI) has become a central tool in brain clinical studies. Most of these studies rely on accurate and
In a previous post, I described how to obtain brain segmentations using a Gaussian Mixture Model (GMM). One of the limitations of this brain segmentation